Startseite Krankheiten A-Z Artikel Impressum
Logo Lexikon alle Krankheiten A-Z

Kieferatrophie: Ursachen, Folgen und moderne Lösungen

Kieferatrophie

Kieferatrophie bezeichnet den fortschreitenden Abbau von Kieferknochengewebe, meist infolge von Zahnverlust. Ohne die natürliche Belastung durch Kaukräfte bildet sich der Knochen zurück, was langfristig sowohl ästhetische als auch funktionelle Probleme verursacht. Betroffene bemerken häufig Veränderungen in der Gesichtsstruktur, Schwierigkeiten beim Kauen oder beim Anpassen von Zahnersatz. Neben altersbedingten Prozessen können auch Parodontitis, Verletzungen oder entzündliche Erkrankungen den Abbau begünstigen. Eine rechtzeitige Diagnostik und gezielte Therapie sind entscheidend, um Folgeschäden zu vermeiden und die Kieferstruktur zu erhalten.

Ursachen des Kieferknochenabbaus

Der Kieferknochen reagiert empfindlich auf Veränderungen der Belastung. Fehlen Zähne, sinkt die Beanspruchung, und der Knochen wird abgebaut. Auch schlecht sitzende Prothesen oder chronische Entzündungen beschleunigen diesen Prozess. Besonders im Frontzahnbereich ist der Erhalt der Knochenstruktur wichtig, um Funktion und Ästhetik zu sichern. Ein erfahrener Kieferchirurg für Frontzahnimplantate kann die individuelle Situation beurteilen und geeignete Maßnahmen einleiten. Weitere Risikofaktoren sind Stoffwechselerkrankungen, hormonelle Veränderungen und Rauchen, da sie die Knochenregeneration beeinträchtigen und Heilungsprozesse verlangsamen können.

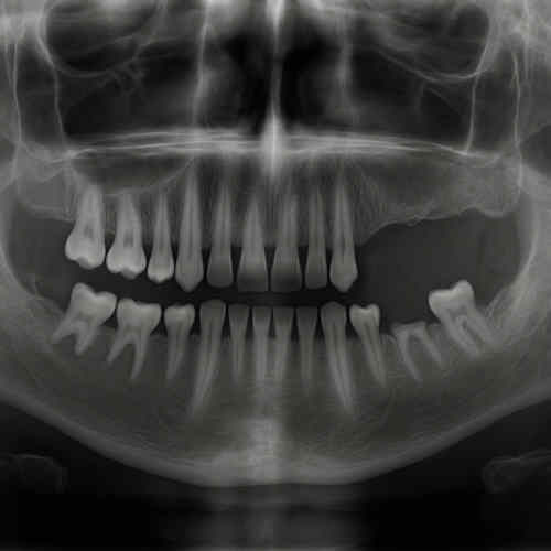
Typische Symptome und Diagnostik

Kieferatrophie entwickelt sich schleichend. Erste Anzeichen sind Veränderungen des Zahnhalteapparats, instabiler Zahnersatz oder sichtbare Einsenkungen der Kieferlinie. Bei fortgeschrittener Atrophie treten funktionelle Einschränkungen wie Kauprobleme und Sprachveränderungen auf. Die Diagnostik erfolgt in der Regel durch bildgebende Verfahren wie Röntgenaufnahmen oder 3D-Scans, die das Ausmaß des Knochenabbaus sichtbar machen.

Zu den häufigsten Symptomen zählen:

Eine frühzeitige Diagnose verbessert die Chancen auf erfolgreiche Rekonstruktion erheblich.

Behandlungsmöglichkeiten und moderne Verfahren

Therapeutisch stehen heute verschiedene Ansätze zur Verfügung. Neben klassischen Knochenaufbauten werden zunehmend minimalinvasive Techniken eingesetzt. Ziel ist, die Knochenstruktur wiederherzustellen und stabile Voraussetzungen für Implantate zu schaffen. Dabei kommen körpereigene oder synthetische Materialien zum Einsatz. Innovative Verfahren wie die gesteuerte Knochenregeneration (GBR) oder 3D-Planung erhöhen die Präzision und verkürzen die Heilungszeit. Auch Sofortimplantationen gewinnen an Bedeutung, wenn genügend Restknochen vorhanden ist. Diese Methoden erlauben eine funktionelle und ästhetische Wiederherstellung in kürzerer Zeit, was insbesondere für jüngere Patienten von Vorteil ist.

Prävention und langfristige Stabilität

Vorbeugung beginnt mit konsequenter Mundhygiene und regelmäßiger zahnärztlicher Kontrolle. Eine frühzeitige Versorgung von Zahnlücken mit Implantaten oder Brücken verhindert, dass sich der Knochen abbaut. Ebenso wichtig ist die Vermeidung von Karies, da unbehandelte Zahnfäule häufig zu Zahnverlust führt und damit den Knochenabbau begünstigt. Nach erfolgter Behandlung ist die Nachsorge entscheidend: regelmäßige Kontrolltermine, sorgfältige Reinigung und die Vermeidung von Risikofaktoren wie Nikotin oder unzureichender Ernährung. Patienten profitieren zudem von individuell abgestimmten Pflegemaßnahmen, um die Stabilität des Kieferknochens langfristig zu sichern. Moderne Therapiekonzepte bieten heute sehr gute Prognosen, wenn Diagnose und Behandlung rechtzeitig erfolgen. Damit lässt sich die Funktionalität des Kiefers oft vollständig wiederherstellen.


Empfehlungen

Informationen zu Kinderkrankheiten
Alle Tropenkrankheiten A-Z